Services

Dental Implants

A dental implant is a small titanium screw which is placed into the bone where a tooth is missing to provide the most stable and long-lasting platform for the replacement of the missing teeth.

Read More

Crowns & Bridges

A crown is a restoration that covers all surfaces of the tooth above the gumline.

Read More

Dentures

It was long thought that removable partial dentures had to be rigid to be effective. The innovation of the Valplast Flexible Partial allows the restoration to adapt to the constant movement.

Read More

Root Canals

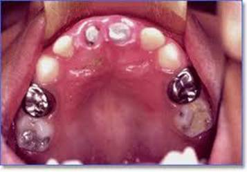
Root canal treatment is done when the tooth is so severely decayed that it cannot be saved by a filling because the infection or decay has reached the pulp which is the vital tissue tooth.

Read More

Teeth Whitening

We use the world's best teeth whitening system. Dental cleanings involve removing plaque (soft, sticky, bacteria infested film) and tartar (calculus) deposits and stains that have built up on the teeth over time.

Read More

Wisdom Teeths

Removing a tooth is necessary when decay or an abscessed tooth is so severe that no other treatment will cure the infection.

Read More

Smile Correction

A new smile is attractive only when it looks natural. It needs to fit your personality. What makes something attractive? It comes down to balance and proportion. We design your smile using a natural law of beauty called Golden Proportion.

Read More

Orthodontics (Braces)

Orthodontic treatment involves moving the teeth with braces in order to make them straight and to correct the bite. At our clinic we have all the expertise and equipment to make sure that your teeth are perfectly positioned.

Read More

Gum Surgeries

Sometimes, in order to treat advanced gum disease, surgical procedures are necessary.

Read More

Dentistry for Children

Infants and children are not immune to oral health problems. Dental caries (tooth decay or cavities) is the most chronic childhood ailment.

Read More

Oral & Maxillofacial Surgeries

Orthognathic surgery is needed when jaws don't meet correctly and/or teeth don't seem to fit with jaws. Teeth are straightened with orthodontics, and corrective jaw surgery repositions misaligned jaws.

Read More

Dental Tourism

Given Hyderabad's central location and good connectivity, packages can be worked out with Rajasthan, Goa, Kerala, or for that matter overseas destinations as well.

Read More

Service Details

Dental Implants

A dental implant is a small titanium screw which is placed into the jaw to provide the most stable and long-lasting platform for the replacement of the missing tooth/teeth.

What are the different ways of replacing missing teeth?
• Removable prosthesis like dentures [complete/partial] • Fixed prosthesis like bridges

What about a fixed prosthesis?
• Do you really need to grind those healthy teeth? • But i had gaps in my teeth and want to keep it that way? • How do i clean it if food gets under it? • How do i know whether the teeth under the caps are healthy? So isn’t there any other way of replacing teeth Or mimicking nature?

Benefits over conventional removable prosthesis:
• Feel and function more like natural teeth • Improved taste and appetite • Improved appearance • Ability to chew without pain and gum irritation • Reduction or elimination of bone loss under prosthesis • Improved stability and retention improves patient confidence thereby elevating self esteem

Benefits over conventional fixed prosthesis:
• Adjacent teeth are preserved • No sensitivity, no marginal leakage, no secondary caries, no gingival health issues • No pontic so maintaining oral hygeine is easier – can floss • Improved esthetics

Preparations for Crowns/Bridges


Ceramic Crowns


Full Mouth Rehabilitation


Crowns and Bridges

A crown is a restoration that covers all surfaces of the tooth above the gumline. Crowns may be needed to:
• restore severely broken down or worn teeth • restore heavily filled teeth • improve the appearance of irregularly shaped teeth • help protect a tooth that is vulnerable to fracture • restore a back tooth that has had root canal treatment

Crown Materials
Gold : Usually only placed on the very back teeth, gold has been used in dentistry for centuries and produces very reliable restorations. Its use is declining simply because people now prefer tooth coloured materials.
Metal-Ceramic : A metal-ceramic crown has a metal inner structure to which a ceramic outer layer is fused. This combination can produce strong, natural looking restorations. When metal-ceramic crowns are indicated, we prefer to use gold as the metal rather than semi-precious or non-precious metals, due to the superior fit and biocompatibility of gold.
Cermamic or Metal-Free Crowns: Ceramic is a great option for people who wish to have metal-free restorations or where the most natural looking results are required. There are several different types of ceramics available. Zirconia is a strong ceramic that can be used in crowns and bridges on back teeth. Other types of ceramics such as Empress® and Procera® can be used in areas of the mouth where less strength is needed and appearance is of greatest priority.

Bridges Bridges can be an option to replace a missing tooth or several missing teeth. In a conventional bridge design, the teeth adjacent to the gap are prepared as they would be for crowns. The bridge consists of a false tooth (called a pontic) which is permanently joined to the crowns on either side.

Tooth Jewellery This readymade tooth jewellery is available in various colours and sizes. Fitting takes about 10 to 15 minutes and completely painless as there is no cutting of the tooth surface. The jewellery is just cemented onto your tooth, the design can be changes several times if you want to change your smile, or even go back to your original smile.
- No Drilling
- No Holes
- Painless Does Not Harm Tooth
- Temporary

Full Mouth Rehabilitation If the condition of your teeth are preventing you from eating, smiling, and biting properly due to severe decay, severe periodontal disease, severe attrition or if you no longer wish to have dentures and missing teeth, then you may be a candidate for a “full-mouth makeover”. It is complex form of treatment, which involves treating temporomandibular joint and muscular dysfunction, restoring vertical dimension, correcting occlusal discrepancies etc.

Valplast® Flexible Partial


Complete Removable Dentures


Partial Removable Dentures


Dentures

It was long thought that removable partial dentures had to be rigid to be effective. The innovation of the Valplast® Flexible Partial allows the restoration to adapt to the constant movement and flexibility in your mouth. This is the underlying thinking behind Valplast's innovative flexible, removable partial denture. The flexibility, combined with strength and light weight, provides total comfort and great looks!

The Valplast® partial is virtually invisible because there are no telltale metal clasps, and the material itself blends with the tissue in your mouth so that the only thing that shows is your beautiful smile. When considering a removable partial, many people find the Valplast® Flexible Partial to be the most comfortable option, and the final restoration can be made very quickly! While the cost is often higher than a partial made with visible metal clasps, the results of the flexible partial are beautiful, and patient satisfaction is very high. The Valplast® Flexible Partial involves only non-invasive procedures, and gives you confidence in your restoration while talking, eating and most importantly, smiling!

Removable Complete Dentures
When a person has had all of their teeth removed we must make complete dentures for the person to wear. When the teeth are removed we are left with a ridge of bone on the upper and lower parts of our mouth, which we can use to put false teeth on. The lower denture always takes a little more work for most patients to get used to for two reasons: lack of height of bone and presence of the tongue. The tongue increases in size in an edentulous mouth and it resists any new encumbrance to its unchallenged domain. In the upper ridge however there are no such interferences. Complete dentures are custom made and sized to fit the shape of your jaw and mouth. They mimic the color and appearance of your natural teeth. The unique impression of your teeth, bite and shape of your jaw shape will be used to create the dentures. The process to fabricate your custom dentures usually requires at least a three to four month wait after extraction of your teeth. This waiting period allows time for the gums and bone to heal and shape themselves. Over time your mouth will change, but your dentures will not. The jaw bones and gums will shrink. You usually need to have your dentures refitted or even remade after 5 -10 years.

Partially Removable Dentures
A removable partial denture (RPD) is for a patient who has few teeth missing and desires to have replacement teeth for functional or aesthetic reasons, and who cannot have a bridge (a fixed partial denture) for any number of reasons, such as a lack of required teeth to serve as support for a bridge or due to financial limitations or personal choice. An important step in maintaining a healthy smile is to replace missing teeth. When teeth are missing, the remaining ones can change position, drifting into the surrounding space. Teeth that are out of position can damage tissues in the mouth. In addition, it may be difficult to clean thoroughly between crooked teeth. As a result, you run the risk of tooth decay and periodontal (gum) disease, which can lead to the loss of additional teeth. In situations where only some teeth are missing we can also use a Removable Partial Denture. A removable partial denture fills in the space created by missing teeth and fills out your smile. It is usually used when the space without teeth is too large for a bridge, or there are no teeth on either side of the gap or for economic reasons. The partial denture locks into place with its metal clasps. A denture helps you to properly chew food, a difficult task when you are missing teeth. In addition, a denture may improve speech and prevent a sagging face by providing support for lips and cheeks. There are two types of these: ones made fully of plastic(acrylic) or ones having a metal framework for rigidity and the teeth are the same kind used in full dentures. The latter ones are called CAST partial dentures and are much better and expensive.

Step1


Step2


Step3


Filling/Restorations


Root Canal Treatments

Root canal treatment is done when the tooth is so severely decayed that it cannot be saved by a filling because the infection or decay has reached the pulp which is the vital tissue of the tooth.

Step 1: Cleaning, Shaping, Medicating
A radiograph is needed to examine the tooth initially. A local anaesthetic is given to block the pain. An opening on the tooth is made to reach the pulp and inflamed / infected pulp tissues are removed with special instruments called files. Each root canal is cleaned and shaped. Anti-inflammatory and anti-bacterial medicines may be put inside the root canal to help stop the inflammation and infection. If a severe abscess has formed, oral antibiotics tablets may be needed to help treat the infection.

Step 2: Fillings
You may need to make several visits to complete the treatment and a temporary filling will protect the inside of the tooth during visits. Pain or discomfort, if any, usually lasts no more than a few days, and will not be experienced by every patient. Some people may want to take a mild pain reliever

Step 3: Sealing, Protection
In the final appointment the root canals are filled, and the pulp chamber is sealed. A post may be inserted inside the tooth if it lacks enough structure to support an artificial crown. A crown is then recommended because:
• it protects, strengthens and seals the tooth from the top
• it restores normal bite
• it restores a superior cosmetic appearance

Possible Side Effects
As with all dental and medical treatments, root canal treatment has risks. The following list of possible side effects is intended to inform you about some of the potential problems. As other uncommon complications may occur, the list is not complete. If you have any concerns about possible risks or complications, please do not hesitate to ask for more information.
1. Loss of tooth: While root canal treatment can save most teeth, it is not possible to guarantee that it will be successful in every case
2. Infection: Infection is likely to resolve completely but re-infection is possible, but low. If the tooth is re-infected, it can be treated again or removed.
3. Discolouration: In some cases the tooth can become darker, which can be treated by bleaching, or an artificial crown or veneer.
4. Pain or discomfort: Some people may continue to have pain or discomfort around the tooth during and following treatment. If pain is severe or lasts more than a few days, additional treatment may be needed.
5. Weakness: An endodontically treated tooth may be not as strong and durable as a normal tooth. This especially true for the back teeth (molars) and this is why a crown is recommended.
6. Altered feeling: During and after treatment, the tooth may feel slightly different from the other teeth. This should disappear gradually. If feeling persists, further treatment may be needed.
7. File fracture: Special metal files are used to clean the inside of the root canals. These instruments are very fine and occasionally may break during use. Special procedures may be needed to remove the broken portion of the file, or you may be referred to a Specialist. In some cases, it may not be possible to remove the fragment.

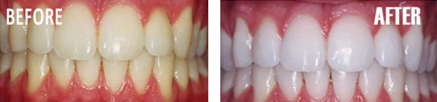
Stains, Plaque and Deposit


Ultrasonic Scaling


Procedure Results


Teeth Cleaning (Scaling) & Whitening

Dental cleanings involve removing plaque (soft, sticky, bacteria infested film) and tartar (calculus) deposits and stains that have built up on the teeth over time. If the PLAQUE, or calculus is allowed to accumulate on the teeth it will unfortunately provide the right conditions for bacteria to thrive next to the gums. The purpose of the cleaning and polishing is basically to leave the surfaces of the teeth clean and smooth so that bacteria are unable to stick to them and you have a better chance of keeping the teeth clean during your regular home care.

How is teeth cleaning done?
The dentist uses specialized instruments to gently remove these deposits without harming the teeth. The instruments which may be used during your cleaning, and what they feel like, are described below.
Ultrasonic instrument
Commonly used first is an ultrasonic instrument which uses tickling vibrations to knock larger pieces of tartar loose. It also sprays a cooling mist of water while it works to wash away debris and keep the area at a proper temperature. The device typically emits a humming or high pitched whistling sound. This may seem louder than it actually is because the sound may get amplified inside your head. Ultrasonic instruments are by no means sharp since their purpose is to knock tartar loose and not to cut into the teeth. Polishing
Once all the surfaces are smooth, the dentist may polish your teeth. Polishing is done using a slow speed handpiece with a soft rubber cup that spins on the end to make them shiny and smooth.

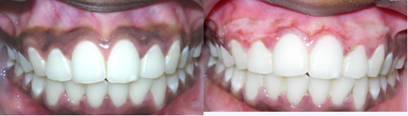
Teeth Whitening
After years of grinding, chomping, and chewing, your once-pearly whites may have seen better days. The gloss of lustrous white enamel has faded, exposing the natural yellow layer beneath. Add to that a lifetime’s worth of pigments from coffee, tea, red wine, and soda that have gotten lodged in tiny cracks in your teeth. The result: that unattractive yellowish-brown tint that’s made tooth whitening one of the most popular cosmetic dental procedures.
Age:
There is a direct correlation between tooth color and age. Over the years, teeth darken as a result of wear and tear and stain accumulation. Teenagers will likely experience immediate, dramatic results from whitening. In the twenties, as the teeth begin to show a yellow cast, teeth-whitening may require a little more effort. By the forties, the yellow gives way to brown and more maintenance may be called for. By the fifties, the teeth have absorbed a host of stubborn stains which can prove difficult to remove.
Starting color:
We are all equipped with an inborn tooth color that ranges from yellow-brownish to greenish-grey, and intensifies over time. Yellow-brown is generally more responsive to bleaching than green-grey.
Translucency and thinness:
These are also genetic traits that become more pronounced with age. While all teeth show some translucency, those that are opaque and thick have an advantage: they appear lighter in color, show more sparkle and are responsive to bleaching. Teeth that are thinner and more transparent – most notably the front teeth – have less of the pigment that is necessary for bleaching. According to cosmetic dentists, transparency is the only condition that cannot be corrected by any form of teeth whitening.
Eating habits:
The habitual consumption of red wine, coffee, tea, cola, carrots, oranges and other deeply-colored beverages and foods causes considerable staining over the years. In addition, acidic foods such as citrus fruits and vinegar contribute to enamel erosion. As a result, the surface becomes more transparent and more of the yellow-colored dentin shows through.

Clinical Tooth Whitening Process This procedure is done in a series of appointments (usually 3-5) until the desired effect is achieved. During in-office tooth whitening a solution of hydrogen peroxide is carefully applied to the selected teeth. The teeth are then exposed to a special light (at a fairly close range) to accelerate the bleaching process. A number of steps are involved to endure the most esthetically pleasing results.
1. Lubricant is applied to the gums.
2. A protective material is placed around the necks of the teeth to isolate your gums, tongue and lips.
3. The teeth are thoroughly cleaned to remove excess lubricant.
4. Conditioner is applied; then the teeth are rinsed and dried.
5. The teeth to be whitened are covered with cotton gauze.
6. The whitening solution is applied to the gauze covered teeth and a special light is positioned.
7. When the lightening process is completed, the gauze and dental dam are removed.
8. The teeth are given a final polish.
The first step in the whitening process is impressions. We will take full impressions of your upper and lower teeth. These impressions will be made into custom bleaching trays. The trays will fit onto your teeth perfectly so there is a small possibility of gum damage from the bleaching solution. The second step is to place the bleaching solution in the trays and wear them for a few hours a day. Within 7-10 days, you will see a significant improvement in the color of your teeth. Your smile will look brighter and younger. We will take before and after photos so that you will be able to compare the amazing transformation. Bleaching only works on natural teeth and may not be effective in all cases. We will inform you as to the potential whitening for your specific situation.

Extractions


Molar Spacing Problems


Impact, Cysts & Erosion


Xrays


Tooth Extractions

Why is it done?
Removing a tooth is necessary when decay or an abscessed tooth is so severe that no other treatment will cure the infection.
How well does it work?
Removing a tooth can help keep infection from spreading to other areas of your mouth and or head and neck.

Wisdom Teeth Removal Wisdom teeth, also called 'third molars' usually do not push through the gums until people are in their late teens, twenties or even older. They are usually the last teeth to come through the gums. Most people have four wisdom teeth. Some people may have less, or not at all. Often there is little space at the back of the jaws for the wisdom teeth to come through. If the jaw does not have enough room to accommodate the wisdom tooth, the tooth will become wedged in or 'impacted'. Some impacted wisdom teeth remain buried and cause no trouble. However, other impacted wisdom teeth may cause severe problems. Often one or more wisdom teeth will cause problems and must be removed. It is a very common procedure and should usually be done as soon as possible before the problems get worse.

Problems casued by impacted wisdom teeth
When an impacted wisdom tooth starts to push through the gum, an infection can start around the top of the tooth. Infection and inflammation can cause pain, swelling, and jaw stiffness. Swallowing may be painful and the person may feel generally unwell. The infection can cause bad breath and an unpleasant taste.
Pain Pressure from the wisdom tooth may cause pain in the tooth next to it. Pain can also be caused by the infection around the wisdom tooth.
Crowding A wisdom tooth may push nearby teeth out of their correct position and may help cause crowding of front teeth.
Cysts If a wisdom tooth is not removed, a sac of fluid, called a cyst can form around the tooth and may displace the tooth. The cyst can destroy bone tissue and damage other teeth and the gums. Cyst formation around unerupted teeth is uncommon.
Damage to nearby molars An impacted wisdom tooth may keep pushing against the molar next to it. This can cause an 'erosion cavity' where the wisdom tooth hits the other molar. This often leads to serious damage to both teeth. The molars may become infected or abscessed. Removal of both molars is often needed.
Ulcer An upper wisdom tooth may push sideways out of the gum. It may cause an ulcer where it rubs against the inside of the cheek.
A food trap Food becomes trapped between the wisdom tooth and the molar next to it. This can cause decay in both teeth.

X-Ray Examination A jaw x ray called an OPG is needed to scan the whole mouth to examine the position and development of the wisdom teeth. This will also help to plan the best way to remove the wisdom teeth and possibly other problems.
GA or LA You have choice of having the wisdom teeth removed in the chair with Local Anaesthetic or in a hospital under General Anaesthetic. This usually depends on the number and difficulty of the wisdom teeth removal as well as the patient's wish. If you have a particular preference, please inform us.

Procedure An incision is often required to open the gums to remove the wisdom tooth. A small portion of the bone may have to be removed to provide access to the tooth. The tooth may have to be divided into segments so it can be removed safely and easily. The incision in the gums may have to be closed with stitches that are either dissolvable or will be removed at the review appointment. You will be given a set of instructions to follow after the procedure.
Possible side effects of wisdom tooth removal All types of surgery have risks. Removal of wisdom teeth also has risks. Complications do not happen often but may occur. The following list of possible side effects is intended to inform you about some of the potential problems. As other uncommon complications may occur, the list is not complete. If you have any concerns about possible risks or complications, please do not hesitate to ask for more information.
• Numbness or altered sensation - An impacted wisdom tooth may be close to nerves within the jaw bone and surrounding tissues. When the tooth is removed, the nerve may become bruised. This can cause numbness, tingling and loss of feeling in teeth, gums, cheeks, lips, chin, tongue and around the upper jaw and lower jaw. Taste sensation may be altered as well. If a nerve is injured, it usually will heal and the symptoms go away. In some people the healing process can take 6 to 18 months. In rare cases, the nerve may not heal completely and the symptoms may be permanent.
• Dry socket - After the tooth is removed, a blood clot will form over the bone. This is important for proper healing and relief of pain. If the blood clot is washed away or dislodged, the bone will be exposed. This is called a 'dry socket'. The result is a constant throbbing pain which may last for many days. Further treatment is required.
• Infection - An infection in the gum or bone is uncommon and can be treated with antibiotics.
• Difficulty in opening the mouth - This is often due to the swelling of the gum and usually goes away in a few days after the swelling goes down.
• Fever - Your body temperature may be slightly higher after surgery. It usually goes back to normal after 12 to 24 hours. A fever which lasts longer may be an indication of an infection or other problems. Contact the surgery.
• Excessive bleeding - This is rare and can be caused by too much exertion or by vomiting. It can be stopped by putting gauze over the site and applying pressure by biting gently on the gauze for 20 to 30 minutes. If severe bleeding does not stop, contact the surgery or hospital emergency department.
• Lip sores - While the tooth is being removed, pressure or stretching of the lip by the instruments may cause bruises or small sores.

Proportionality


Results


Smile/Gum Line






Width, Proportion and Shade








Veneers




Lumineers





Smile Correction

Your smile represents you
A new smile is attractive only when it looks natural. It needs to fit your personality. What makes something attractive? It comes down to balance and proportion. We design your smile using a natural law of beauty called Golden Proportion. Golden Proportion means that your smile will have the natural shape, size and contour to fit your face and how your jaw functions. If your teeth are worn down, we will use our sophisticated cosmetic dentistry techniques to give you that natural look back.
The golden proportion is a mathematic relationship found throughout nature. It is used as a starting point when designing your smile. The golden proportion rule dictates the amount of tooth surface that should be visible when viewed from the front, and will make your smile appear balanced. Principles of Smile Design
If a picture is worth a thousand words, a beautiful smile is priceless. To design the most aesthetically pleasing and optimally functional smile, we follow the nine main Principles of Smile Design taking into account your unique facial features. For example, we can use characteristics such as tooth shape to compliment or enhance the shape of your face.
Horizontal Alignment
Smile lines that are parallel to the horizontal axis of your face are widely considered most attractive.

Smile Line
One of the most important characteristics of a great smile, a smile line is created by drawing an imaginary line from the biting edges of the back teeth around to the front teeth. A curved smile line makes you appear significantly younger.
Gum Line
The most aesthetic smiles have symmetrical gum lines that follow the upper lip.
Smile Width
In the ideal smile, the teeth towards the back of the mouth can be seen in progression. If the smile is narrow, the back teeth are often in shadow causing the sides of the smile to appear dark.
Embrasures
Embrasures are the natural, slight triangular spaces between the tips of your teeth. The most natural, youthful looking smile has small embrasure spaces at the front which gradually get larger towards the back teeth.
Tooth Proportion
When creating the ideal smile, the size of each tooth is governed by an ideal proportion. Usually, for example, the ideal width to height ratio of the two front teeth is 0.7:1.
Tooth Shade
It is possible to change the shade of your teeth while designing your new smile. SmielStylers has a variety of colour and translucency options to choose from in order to give you a smile so natural, it looks like one you were born with it.

Veneers Natural looking and long lasting porcelain veneers are one of cosmetic dentistry's more recent developments. They are wafer-thin shells of porcelain that can be bonded onto the front side of teeth to improve the tooth’s appearance. Porcelain veneers are ideal for use on teeth that are stained or discoloured, worn, chipped, misaligned or as an alternative to orthodontic treatment. There are several advantages to porcelain veneers:
- Easily fabricated with minimal tooth preperation
- After it is bonded to a sturdy tooth it becomes very strong and durable
- Enhances your appearance for a long time, typically up to 10 years with proper care and precautions
- Porcelain veneers appear realistic they are glass-like and translucent, an advantage over other types of cosmetic dental bonding mimicking the light handling characteristics of enamel when the veneer is bonded to the tooth

Lumineers
If you dream of having a perfect smile, but the thought of having veneers applied to your teeth makes you wince in pain, you'll be happy to know there is a new, pain-free alternative to help you get a fantastic looking smile.
This new dental discovery is called Lumineers™ by Cerinate®. Described as “smile shapers”, Lumineers are ultra-thin, super translucent porcelain that is non-invasively applied to teeth for a natural looking smile that fits every individual. Anyone with “needle-phobia” can breathe easy. Lumineers can be applied without the use of anesthesia, so no shots are required. But how do Lumineers differ from the traditional porcelain veneers that dentists have been using for years? Typically, most veneers require that your dentist grind down sensitive tooth structure for a good fit. Not so with Lumineers, as there is no cutting or grinding of teeth in almost all cases. 
Another bonus is that this new procedure generally calls for just two visits to your dentist and no uncomfortable temporaries while you wait for your Lumineers to be created. There is no post-procedure discomfort or sensitivity, which means Lumineers look and feel natural as soon as you step out of your dentist's chair. Lumineers can even be a more comfortable and time-saving solution for adults who are considering braces. If your bite problem isn't severe, Lumineers will change the shape and alignment of your teeth, making them look straighter and more uniform. They will also help restore and strengthen teeth and aid in preventing wear over time. So now your dream of a new smile can become a reality– without pain. And that's really something to smile about! 

Types of Braces





Train Track Braces


Invisalign Braces


Before and After


Orthodontics (Braces & Clips)

Orthodontic treatment involves moving the teeth with braces in order to make them straight and to correct the bite. At our clinic we have all the expertise and equipment to make sure that your teeth are perfectly positioned.

What Types of Braces are there?
There are removable, fixed or functional braces. The amount of tooth movement that can be achieved with removable braces is limited, but they are often used in addition to fixed braces. Fixed braces allow greater control of tooth movement and can be placed on the outside or inside (tongue side) of the teeth.
1. Metal Braces
Silver braces are more traditional in appearance but just as precise and efficient at moving teeth as the more stylish types of tooth-coloured brace. You can just keep them looking like plain silver, or patients can customise their silver braces with coloured elastic wire clips - lots of people think of their brace as mouth jewellery or even as a fashion statement!
2. Tooth coloured fixed appliances (train track braces)
Modern braces are discreet, comfortable and hardly show at all. More and more adults are choosing to wear this kind of brace with confidence. The appliance has the technology to give maximum control of tooth movement. This high quality treatment creates a fantastic end result.
3. Lingual (Tongue Side) Braces
Tongue side braces are truly invisible - nothing shows at all. They are basically braces stuck to the tongue side of the teeth instead of the lip side.
4. Invisible Braces Or Invisalign
Invisible braces are the latest advance in orthodontic technology, and are becoming more and more popular as they overcome many of the barriers which usually put people off wearing braces. They are made of thin clear plastic which fits over teeth like a glove.
Invisible braces work best for mild - moderately crooked teeth. They take about 6 months to 1 year to work depending on how crooked the teeth are.

Gums Graft - Before and After


Dark to Pink Gums


Guided Tissue Regeneration


Gum Surgeries

Sometimes, in order to treat advanced gum disease, surgical procedures are necessary. However, some of the procedures like;
• Crown Lengthening
• Soft / Hard Tissue Grafts
• Dark to pink gums (depigmentation of gums )
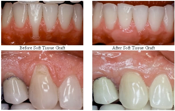
We perform are intended not only to control disease, but to provide you with a cosmetic benefit. Some patients may look older than their years because their teeth appear to be too long. Soft tissue grafts and other root coverage procedures are designed to cover exposed roots and make the teeth look much better. When gum tissue recedes due to periodontal disease, it pulls away from the teeth. Periodontal plastic surgery procedures can restore some coverage and dramatically improve a person's smile. Soft tissue grafts and other root coverage procedures cover exposed roots and restore healthy gum tissue. This will reduce further bone loss and recession, make the tooth less sensitive, protect the root from root cavities, and look more natural when you smile. Dark to pink gums
Many patients have cultural factors and imbalances of pigmentation components which form the basis for unusual colorations of ginigival tissues. The range of darkening effects can be spotted or splotchy (light and dark brown) all the way to nearly 100% of the gum tissues. Black gums usually refers to the condition where all or most gum tissue is affected, with a complete brown appearance. YAG Laser is used to treat the affected areas. A relatively painless process, special laser tips are used at predefined power levels that provide the precision for treating affected areas selectively with the least or no discomfort. Healing of the treated tissues is fairly rapid. Discomfort for the patient, both during and after treatments is minimal. Patients commonly report having itchy gums for a short time during the post operative period. For other patients it may be several days.

Guided Tissue Regeneration
Much in the same way that gum tissue can be restored with soft tissue grafts, the same can be said for those patients who suffer from bone loss due to periodontitis. Bone in the jaw is kept strong and healthy when a healthy tooth is in its socket. However, when bone loss occurs the tooth has less support, can become loose and eventually be lost. Guided Tissue Regeneration (GTR) attempts to regenerate lost periodontal structures, such as bone, ligaments and connective tissue attachments that support the teeth. Biocompatible membranes are used conjunctively with bone grafts for the regeneration to be successful. If a tooth is lost, a patient may seek dental implants to restore his/her smile. However, even dental implants need a healthy jawbone before they can be placed. Guided Bone Regeneration (GBR) or Ridge Augmentation restores the bone before the placement of implants. Biocompatible membranes and bone grafts keep the tissue out, thus allowing the bone to grow. The recent advances in technology have led to a higher success rate with this procedure, leading to bone formation and resolving the defect.

Dentistry for Kids


Pits and Fissures


Flouride Treatment


Pulpotomy, Pulpectomy & SS Crown


Space Maintainer and Habit Breakers





Dentistry for Children

Baby Bottle Tooth Decay

Infants and children are not immune to oral health problems. Dental caries (tooth decay or cavities) is the most chronic childhood ailment. Pit & Fissure Sealants : it's a preventive treatment to preserve the teeth dental sealants What Are Sealants?
Sealants are an acrylic-like material that help shield the chewing surfaces of the back teeth from decay-causing bacteria. By the age of six, children should have sealants applied to their permanent molars. Molars of early teens should be sealed as they appear.
How Do Sealants Prevent Tooth Decay?
Sealants help prevent tooth decay by bonding to the chewing surface of the back teeth. Sealants cover the pits and fissures (i.e. depressions and grooves). Sealants are usually applied on only the back teeth.
Procedure and Maintenance
The tooth is cleansed with a mild acid solution and thoroughly washed and dried. Once sealant is applied to the tooth, it takes less than a minute for the sealant to harden.
Pit and Fissure Sealants: can be done for
- Primary molars
- Pre-Teen molars
- Teen bicuspids and molars
- Adult bicuspids and molars applied to the tooth, it takes less than a minute for the sealant to harden.

Fluoride Treatment
Regular application of Flouride agents make tooth structure stronger and prevent tooth decay to a great extent. It is usually done once in 6 months. Fluoride is vitamins for our teeth. It can be found in many foods and water but is rarely enough to make up for the amount lost through a process called demineralization. This treatment helps prevent cavities by strengthening the surface (enamel) of the teeth, reducing the ability of bacteria contained in dental plaque to produce acid, and by re-mineralizing existing dental cavities. Prescription strength application of fluoride is offered in our office at every oral hygiene visit. This professional strength fluoride used in our office has lasting effects on your teeth for 30 days after use. All children are given fluoride foam in our office because they are the most vulnerable victims of tooth decay. As adults our teeth wear down; as a result we lose minerals that protect the teeth. We give an option to adults to decide whether they would like to receive a liquid fluoride rinse or not.
Pulpotomy ,Pulpectomy & SS Crown
All severely damaged milk teeth are saved by this procedure wherein the decayed living tissue is removed and filled with restorative material. The teeth that are saved by this method are further strengthened by capping with metal crowns.
Space Maintainer
The milk teeth guide the permanent set of teeth to erupt in a proper direction. In case of early loss of these teeth by decay or trauma, the space has to be preserved by space maintainers thereby directing the erupting permanent teeth to their normal.
Habit Breaking Appliance
Oral habits such as thumb sucking, mouth breathing, lip biting causes mal alignment of teeth. This can be intervened by habit breaking appliances.

Pregnancy and Dentistry

Tooth Care for Pregnant Women

Structure of the Jaw


Types of Bites


Cleft lip surgery


Cleft palate surgery


Orthognathic Surgery

Orthognathic surgery is needed when jaws don't meet correctly and/or teeth don't seem to fit with jaws. Teeth are straightened with orthodontics, and corrective jaw surgery repositions misaligned jaws. This not only improves facial appearance, but also ensures that teeth meet correctly and function properly. Who Needs Orthognathic Surgery?
People who can benefit from orthognathic surgery include those with an improper bite or jaws that are positioned incorrectly. Jaw growth is a gradual process and, in some instances, the upper and lower jaws may grow at different rates. The result can be a host of problems that can affect chewing function, speech, long-term oral health, and appearance. Injury to the jaw and birth defects may also affect jaw alignment. Orthodontics alone can correct bite problems if only the teeth are involved, orthognathic surgery may be required if the jaws also need repositioning.
• Difficulty in the following areas should be evaluated:
• Difficulty in chewing, biting or swallowing
• Speech problems
• Chronic jaw pain
• Open bite
• Protruding jaw
• Breathing problems
• Recessive (small) jaw
Any of these conditions can exist at birth or may be acquired after birth as a result of heredity, environmental influences, or trauma to the face. Before any treatment may begin, a consultation will be required to perform a complete examination with x-rays. During the pre-treatment consultation process, feel free to ask any questions that you have regarding your treatment. When you are fully informed about the aspects of your care, you and your dental team will make the decision to proceed with the treatment together.
Surgery
We use modern computer techniques and three dimensional models to show you exactly how your surgery will be approached. Using comprehensive facial X-rays and computer video imaging, we can show you how your bite will be improved and even give you an idea of how you'll look after surgery. This helps you understand the surgical process and the extent of the treatment prescribed. This will illustrate the benefits of orthognathic surgery. If you are a candidate for corrective jaw surgery, our surgeons will work closely with your dentist and orthodontist during your treatment. The actual surgery can move your teeth and jaws into a new position that results in a more attractive, functional and healthy dental-facial relationship.
Facial Trauma
Oral and maxillofacial surgeons are trained, skilled and uniquely qualified to manage and treat facial trauma. Our surgeons are on staff at area hospitals and provide emergency room coverage for facial injuries including:
• Facial lacerations
• Lip lacerations
• Intra-oral lacerations
• Fractured teeth
• Avulsed (knocked out) teeth
• Fractured facial bones ( cheek, forehead, orbits, and nose )
• Fractured jaws ( upper and lower)
Cleft lip and palate correction
During early pregnancy, separate areas of the face develop individually and then join together, including the left and right sides of the roof of the mouth and lips. However, if some parts do not join properly, sections don't meet and the result is a cleft. If the separation occurs in the upper lip, the child is said to have a cleft lip. A completely formed lip is important not only for a normal facial appearance but also for sucking and to form certain sounds made during speech. A cleft lip is a condition that creates an opening in the upper lip between the mouth and nose. It looks as though there is a split in the lip. It can range from a slight notch in the colored portion of the lip to complete separation in one or both sides of the lip extending up and into the nose. A cleft on one side is called a unilateral cleft. If a cleft occurs on both sides, it is called a bilateral cleft. A cleft in the gum may occur in association with a cleft lip. This may range from a small notch in the gum to a complete division of the gum into separate parts. The palate is the roof of your mouth. It is made of bone and muscle and is covered by a thin, wet skin that forms the red covering inside the mouth. You can feel your own palate by running your tongue over the top of your mouth. Its purpose is to separate your nose from your mouth. The palate has an extremely important role during speech because when you talk, it prevents air from blowing out of your nose instead of your mouth. The palate is also very important when eating. It prevents food and liquids from going up into the nose. As in cleft lip, a cleft palate occurs in early pregnancy when separate areas of the face have developed individually do not join together properly. A cleft palate occurs when there is an opening in the roof of the mouth. The back of the palate is called the soft palate and the front is known as the hard palate. A cleft palate can range from just an opening at the back of the soft palate to a nearly complete separation of the roof of the mouth (soft and hard palate). Sometimes a baby with a cleft palate may have a small chin and a few babies with this combination may have difficulties with breathing easily. This condition may be called Pierre Robin sequence. Since the lip and palate develop separately, it is possible for a child to be born with a cleft lip, palate or both. Cleft defects occur in about one out of every 800 babies. Children born with either or both of these conditions usually need the skills of several professionals to manage the problems associated with the defect such as feeding, speech, hearing and psychological development. In most cases, surgery is recommended. When surgery is done by an experienced, qualified oral and maxillofacial surgeon, the results can be quite positive.
Cleft Lip Treatment
Cleft lip surgery is usually performed when the child is about 10 years old. The goal of surgery is to close the separation, restore muscle function and provide a normal shape to the mouth. The nostril deformity may be improved as a result of the procedure or may require a subsequent surgery.
Cleft Palate Treatment
A cleft palate is initially treated with surgery safely when the child is between 7 to 18 months old. This depends upon the individual child and his/her own situation. For example, if the child has other associated health problems, it is likely that the surgery will be delayed.
The major goals of surgery are to:
Close the gap or hole between the roof of the mouth and the nose. Reconnect the muscles that make the palate work. Make the repaired palate long enough so that the palate can perform its function properly. There are many different techniques that surgeons will use to accomplish these goals. The choice of techniques may vary between surgeons and should be discussed between the parents and the surgeon prior to the surgery. The cleft hard palate is generally repaired between the ages of 8 and 12 when the cuspid teeth begin to develop. The procedure involves placement of bone from the hip into the bony defect, and closure of the communication from the nose to the gum tissue in three layers. It may also be performed in teenagers and adults as an individual procedure or combined with corrective jaw surgery.
What can be expected after the surgery?
After the palate has been fixed, children will immediately have an easier time in swallowing food and liquids. However, in about 1 out of every 5 children following cleft palate repair, a portion of the repair will split, causing a new hole to form between the nose and mouth. If small, this hole may result in only an occasional minor leakage of fluids into the nose. If large however, it can cause significant eating problems, and most importantly, can even affect how the child speaks. This hole is referred to as a "fistula," and may need further surgery to correct.

Scenes from Hyderabad












Dental Tourism

Language
The official language of Hyderabad is Telugu but there are various other regional languages spoken by the people of the state of Andhra Pradesh. English is used for official and commercial purposes. Most people on the streets understand and converse in English. The other languages popular here in Hyderabad are Urdu and Hindi.
Time Zone
India has a single time zone. It is 5.5 hours ahead of the GMT, 4.5 hours behind the Australian Eastern Standard time and 11.5 hours ahead of American Eastern Standard Time (winter).
Climate
Weather in Hyderabad is very pleasant. Temperature in Hyderabad ranges from 11°C to 42°C.
Electricity
Usually 220 volts AC, 50Hz some areas have a DC supply. Plugs used are of the round two and three pin type. Adapters and voltage converters come handy if plan to operate electrical and electronic appliances.
Telephone
International Direct Dialling service is widely available all over India. Otherwise calls must be placed through the international operator. Country code: 91. Outgoing international code: 00. Hyderabad City code: 40.

How to Reach

By Air
Hyderabad is well connected to national and international destinations with both national and international air carriers. Needless to say you can reach anywhere from Hyderabad in no time. Hyderabad is centrally located and exudes a huge potential to be transformed into a transit hub of South Asia.
By Rail
Being the head quarter of South Central Railway, Hyderabad is well connected to all major cities of India.
By Road
Hyderabad, being Capital city is well connected by Road from all major cities in Telangana and neighbouring states of Andhra Pradesh, Karnataka, Tamil Nadu, Maharastra and Orissa.

Contact us for Dental Packages
Top